Головные боли — один из самых распространенных недугов у человека. Едва почувствовав данный симптом, многие торопятся принять различные болеутоляющие средства, чаще всего в виде таблеток. Однако иногда возникают ситуации, при которых болит голова, таблетки не помогают, а что делать, что предпринять, не знает большинство людей.
Причина, по которой ничего не помогает, заключается в том, что головная боль часто выступает всего лишь в роли симптома более серьезных заболеваний. В связи с этим необходимо бороться не с последствиями, а с источником проблемы, то есть с причиной возникновения недуга.
Причины

Предпосылок для появления головной боли может быть множество — от простого переутомления до проблем, требующих хирургического вмешательства. Чаще всего головная боль не проходит по следующим причинам:
- стрессовое состояние, вызванное конфликтами или волнением;
- чрезмерные физические нагрузки;
- ревматизм в области шеи;
- чрезмерное употребление алкоголя или табака;
- перепады артериального давления;
- аллергия или отравление;
- воздействие лекарств;
- метеозависимость.
Справиться с большинством перечисленных факторов не составляет большого труда — человеку достаточно немного изменить образ жизни, более спокойно реагировать на трудности и сбалансировать рацион.
Однако в некоторых случаях этого будет недостаточно и потребуется прием специализированных препаратов либо помощь квалифицированного специалиста. Последнее особенно важно, так как самолечение может привести к ухудшению состояния или потере драгоценного времени для оказания медицинской помощи.
Врачи отмечают, что головная боль может быть одним из симптомов следующих проблем со здооровьем:
- опухоль мозга;
- больные зубы;
- заболевания, вызванные паразитами и др.
Также выделяют виды головной боли, не связанные с другими патологиями. К ним относятся:
- мигрень;
- кластерная головная боль.
Как видно из списка, заболевания серьезны. Именно поэтому в случае, если сильно болит голова (а особенно — если головные боли каждый день) и таблетки не помогают, необходима как можно более ранняя диагностика, чтобы не допустить осложнений в будущем.
Мигрень
Данное заболевание отличается большой продолжительностью — от нескольких часов до нескольких дней и зачастую имеет наследственный характер. Чаше всего от недуга страдают женщины. Причинами появления мигрени в основном бывают проблемы со сном, изменение гормонального фона, несбалансированное питание и патологии сосудов. При мигрени боль, как правило, имеет пульсирующую природу и фокусируется на одной половине лица.
Распознать болезнь можно по симптомам, которые ей предшествуют:
- раздражительность;
- замкнутость;
- рвота или тошнота;
- неприятие яркого света и шума.
Для того чтобы головная боль прошла, нужны некоторые перемены в рационе. Так, специалисты рекомендуют отказаться от алкогольной продукции, кофе, цитрусовых, копченых продуктов, шоколада, яиц и творога. Лучше всего при появлении симптомов сразу обратиться к специалисту и пройти полную диагностику организма, на основании результатов которой будет предложен дальнейший курс лечения. Если такой возможности нет, то могут помочь следующие народные средства:
- лимонная корка, которая прикладывается к височным областям;
- свежевыжатый картофельный сок;
- настойка на основе листьев клевера;
- сок из черной смородины, принимать 3-4 раза в сутки;
- массаж височных областей с использованием мятного масла.
В качестве профилактики рекомендуется выпивать стакан сыворотки или простокваши каждый день перед завтраком.
Кластерная боль
Заболевание напоминает предыдущее, однако отличается меньшей площадью болезненной области. Как правило, возникает в одной точке головы. Чаще всего встречается у мужчин атлетического телосложения. Характерные черты внешности заболевшего, как правило: квадратная форма лица, раздвоенный подбородок и светлые глаза. У детей это вид головной боли не встречается.
Кластерная боль более острая, чем мигренозная. Кроме того, появляется ощущение жжения головы в области бровей и резь в глазах. Боль может со временем распространиться на уши, челюсть или на виски. Длительность болевых ощущений варьируется от нескольких десятков минут до нескольких часов. В некоторых случаях приступы могут пропадать на долгий срок. Симптомы заболевания следующие:
- раздражительность;
- глаза слезятся и краснеют;
- бледность;
- тошнота;
- заложенность носа;
- потливость.
Возможная причина появления боли – изменение гормонального фона, связанное с нарушением функционирования гипоталамуса.
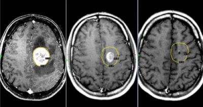
Опухоль мозга
Данное новообразование появляется в тканях мозга и может быть как злокачественным, так и доброкачественным. Последнее можно вылечить без хирургического вмешательства. Злокачественная опухоль растет очень быстро и дает метастазы. Поэтому лечению заболевание поддается с трудом, особенно на поздних стадиях.
При данном заболевании боль ощущается постоянно, а во время движения только усиливается. Самые сильные боли бывают в утреннее и ночное время вследствие накопления избыточной жидкости в тканях. Характер боли — давящий, пульсирующий.
Помимо самой головной боли, постепенно появляются другие симптомы:
- приступы рвоты;
- головокружение;
- проблемы со зрением;
- нарушение координации движений;
- онемение конечностей;
- нарушения памяти;
- потеря сознания;
- не проходящие признаки усталости.
Лечение, проведенное на начальном этапе, имеет намного больший шанс на успех, нежели на поздних стадиях. Почему и рекомендуется не затягивать с посещением лечащего врача. От этого порой зависит жизнь пациента. Как правило, назначается лучевая терапия и определенные медикаменты. В некоторых случаях не удается избежать хирургического вмешательства. Лечение на основе народных средств здесь не помогает. Максимум чего можно добиться —ослабить симптомы.
Отравление
Иногда боль появляется из-за интоксикации. Отравиться можно, например, испарениями токсичных веществ, содержащихся в одежде или мебели. Чтобы убрать боль, достаточно избавиться от проблемных предметов обихода. Однако чаще всего причиной головной боли является пищевое отравление. При подозрении на данное расстройство необходимо:
- промыть желудок;
- принять активированный уголь;
- выпить слабительное.
Данные мероприятия помогут вывести из организма вредные вещества, в результатеболь уменьшится или совсем прекратится. В случае отравления не помогают таблетки от головной боли. При алкогольном отравлении советуют выпить немного апельсинового сока или минеральной воды.
Перепады давления
Нестабильное артериальное давление, помимо головной боли, может привести к головокружению или даже инсульту. При появлении данной проблемы обязательно обратитесь к специалисту. Найдя причину перепадов АД, он назначит соответствующие препараты.
Больные зубы
В некоторых случаях к зубной боли со временем добавляется и головная боль. Конечно, в первую очередь нужно решить проблему с зубами, посетив хорошего стоматолога. Помогут отвары на основе следующих трав:
- мята душистая;
- липа;
- шалфей;
- цветы ромашки;
- тысячелистник.
Перед приемом настойки следует охладить ее до комнатной температуры, так как слишком горячая или холодная жидкость только усугубит симптомы.
Стресс и депрессия
Стрессовые и конфликтные ситуации, волнение, депрессии практически всегда приводят к головной боли. Главное в этом случае — успокоиться, постараться отрешиться от проблемы и расслабиться. Иногда достаточно будет принять легкое болеутоляющее и настойку валерианы. Но главное — хорошо выспаться.
В качестве профилактики необходимо чаще проветривать помещения, менять рабочую позу каждые полчаса, а также делать зарядку. Неплохо помогает массаж головы.Не лишним будет обратиться за психологической помощью к специалисту. После приема у психолога человек иногда полностью пересматривает свои взгляды на проблемы. В особо запущенных случаях могут назначаться антидепрессанты или препараты снотворного действия.
Паразиты
Сильная головная боль, а таблетки не помогают? Может быть, причина — наличие в организме паразитов, выделяющих отравляющие вещества. Недомогание пройдет, если избавиться от нежелательных гостей. Узнать, есть ли в вашем теле паразиты, помогут сданные в больнице анализы.
При положительном результате будут назначены соответствующие лекарственные препараты и мероприятия. Попытка самолечения может привести к печальным последствиям, так как некоторые средства могут ухудшить ситуацию.
Методы лечения

Не всегда при головной боли нужно спешить принять лекарственные препараты. Это может вызвать привыкание и в некоторых ситуациях только усилит боль. Лучшим решением будет сделать легкий массаж головы, а именно лба, висков и затылка. Затем желательно пойти прогуляться на свежем воздухе. Благотворно на состояние повлияет травяной чай с добавлением мяты или пустырника. А вот кофе пить не рекомендуется.
При работе нужно чаще менять позы, при необходимости использовать настольные лампы и чаще проветривать помещение. По возвращении домой следует принять контрастный душ и выпить кружку меда с молоком.Если все это не помогло, то необходимо принять обезболивающие средства. Однако помните, что делать это следует не чаще раза в неделю, чтобы не вызвать привыкание.
Выполнение следующих простых рекомендаций поможет снизить боль либо предотвратить ее появление:
- голова не должна переохлаждаться, поэтому нужно носить шапку или другой головной убор;
- постарайтесь узнать причину появления недуга, проконсультировавшись у специалиста;
- пробуйте не впадать в депрессию и поддерживать позитивный настрой несмотря ни на что;
- здоровый сон — залог вашего здоровья;
- не забывайте о периодических прогулках на свежем воздухе;
- при сильной боли избегайте резких движений и неприятных запахов;
- реже принимайте болеутоляющие средства.
Народные средства
При головной боли хорошо помогают боярышник и душица с добавлением лимона. Отвар готовится путем добавления столовой ложки одной из трав, лимона и ложки меда (по желанию) в емкость с кипящей водой. Далее необходимо дать средству настояться, после чего принимать его по 50 мл за 15 минут перед едой 2-3 раза за целый день. Популярным народным средством является принятие ванн с настоями ароматных трав и мелиссы.
Заключение
Если головная боль мучает вас часто, а обычные болеутоляющие препараты не помогают, следует обязательно записаться на прием к врачу. Правильное и вовремя начатое лечение с использованием подходящих препаратов поможет избежать проблем и осложнений в дальнейшем. Конечно, чаще всего боли появляются из-за стрессов и перенапряжения, однако рисковать все-таки не стоит, ведь на кону ваше здоровье, а в некоторых случаях даже жизнь.
Источник

В случае, когда болевые ощущения ничто не снимает, следует обратиться к врачу.
Причины возникновения боли
Мигрени
Эта болезнь носит наследственный характер, обычно проявляется у женского пола, реже бывает у мужчин. От неё нельзя вылечиться, но временно приглушить симптомы — возможно. Может провоцироваться нехваткой сна, проблемами с гормональным фоном, неправильным питанием, сосудистыми патологиями.
Клиническая картина
Болевые ощущения локализуются в одной части головы, они словно пульсируют. Характер боли — сильный. Пациента подташнивает, возможна рвота, светобоязнь, непереносимость звуков.
Задайте свой вопрос врачу-неврологу бесплатно
Ирина Мартынова. Закончила Воронежский государственный медицинский университет им. Н.Н. Бурденко. Клинический ординатор и невролог БУЗ ВО «Московская поликлиника».Задать вопрос>>
Длится такой приступ от 2-3 часов до суток.
Вмешательство врача
Лечение назначает терапевт.
Диагностика
Диагностировать мигрень у пациента врач сможет на основании симптомов, описанных больным при беседе.
Лечение
Пациентам следует поменять рацион. Из меню полностью исключаются алкогольные напитки, апельсины и другие цитрусовые.
Нельзя есть копчёные блюда и шоколад, а также продукты, имеющие в составе глутамат натрия.
Провоцирует головные боли и употребление яиц и творога. Блюда из этих продуктов рекомендуется употреблять как можно меньше.
Пациенту следует отказаться от кофе. Максимальное количество кофе, которое может выпивать пациент, ограничивается одной кружкой в день.
Мнение эксперта
Приходько Аркадий Аркадьевич
Врач-ревматолог — городская поликлиника, Москва.
Образование: ФГБНУ НИИР им.В.А.Насоновой, Астраханская государственная медицинская академия.
Лечение медикаментами (триптанами), направленными на устранение мигрени, прописывает только врач.
Кластерные боли

Но при этом болезнь практически не встречается у детей.
Клиническая картина
Характер боли — острый. Голову может жечь и печь. Обычно болевые ощущения локализуются в зоне надбровных дуг, сопровождаются резью в глазах, могут иррадиировать в ушную раковину, висок, челюсть.
Может начаться нервная дрожь глазного яблока, пациент сильно потеет во время болевого приступа. Его кожные покровы бледнеют, человека тошнит, закладывает нос.
Чем сильнее болит голова, тем сильнее слезятся и краснеют глазные яблоки. Пациент постоянно раздражается от боли, ухудшается качество жизни. Иногда у людей, страдающих этим заболеванием, даже бывают суицидальные наклонности.
Боль может быть кратковременной, по 10-15 минут два и больше раз в сутки, а потом может не беспокоить человека почти год. Причин такой периодичности проявления кластерной боли врачи не знают, поэтому лечение направлено на удлинение срока ремиссии.
Вмешательство врача
Рекомендуется консультация невропатолога.
Диагностика
Первопричинами возникновения патологии могут быть многие факторы — от травм челюсти и черепа до повышенного артериального давления.
Мнение эксперта
Филимошин Олег Александрович
Врач-невролог, городская поликлиника г. Оренбурга.
Образование: Оренбургская государственная медицинская академия, Оренбург.
Пациенту следует рассказать врачу все симптомы, чтобы врач смог точно определить причину возникновения боли и назначить лечение.
Для диагностики используют МРТ, ангиограмму сосудов, рентген шейного отдела позвоночника.
Лечение
Лечение заболевания является комплексным и включает в себя:
- Прием медикаментов (триптаны, спреи и капли в нос на основе дигидроэрготамина, обезболивающие, стероидные блокаторы и гормональные препараты, транквилизаторы).
- Кислородные ингаляции.
- Применение охлаждающих компрессов со льдом.
- Иглоукалывание.
Вирусный артериит
Это редкая патология сосудов с поражением сонной артерии. Обычно проявляется в форме височного артериита. При болезни нарушается кровоснабжение мозга из-за сужения аорты.
При развитии заболевания возможно перекрывание кровотока к голове.
Клиническая картина
Головные боли носят пульсирующий характер, часто иррадиируют в челюсть. Пациент чувствует постоянную усталость, его лихорадит, отмечается снижение веса, болят мышцы.
Возникает кислородное голодание тканей из-за сужения артерий. Следствием может стать слепота, инсульт. При воспалении сосудов часто болят руки.
Вмешательство врача
Лечением занимаются хирурги и флебологи.
Диагностика
Диагностирование заболевания происходит с помощью анализа крови, биопсии артерий.
Лечение
Направление лечения: устранение воспалительного процесса в артериях.
- Лечат патологию с помощью Кортизона (орально или с помощью инъекций). Такая терапия имеет множество побочных эффектов — например, сильное потоотделение, появление синяков, отёчность, прибавка в весе.
- Аспирин. Разжижает кровь, не даёт ей сворачиваться в артерии, снижает риск возникновения инсульта и слепоты.
- Часто проводимая терапия провоцирует остеопороз. Поэтому больному необходимо принимать кальций и витамины. Для женщин необходимо дополнительное лечение Актонелем, прием эстрогенов и т. д.
Опухоли мозга

Злокачественные опухоли характеризуются быстрым прорастанием в другие ткани с их последующей трансформацией. При этом метастазы могут наблюдаться сразу в нескольких участках мозга.
Такие опухоли плохо лечатся, а на поздних стадиях их развития спасти человека практически невозможно.
Клиническая картина
Характер болевых ощущений — постоянный, по мере развития заболевания продолжительность приступов увеличивается. Когда человек двигается, болевые ощущения усиливаются. Сначала они локализуются в области опухоли, потом, по мере увеличения внутричерепного давления, переходят в лобную и затылочную часть. Наиболее сильный дискомфорт наблюдается в ночное и утреннее время из-за скопления жидкости. Вены не справляются с оттоком крови, поэтому к болям прибавляются отёчность и застои. Боли давящие, распирающие, пульсирующие.
К головным болям затем добавляется рвота. При физической нагрузке или кашле болевые ощущения усиливаются, появляется двоение в глазах, временами исчезает зрение. Голова кружится, у пациента нарушается координация движений. Могут неметь конечности, ослабляется тонус мышц.
Иногда бывают эпилептические припадки, путается сознание.
Вмешательство врача
Необходима помощь терапевта, нейрохирурга, онколога, онколога-радиолога.
Диагностирование
Для диагностики используется МРТ мозга, ПЭТ, КТ мозга, ангиография и другие методы.
Лечение
- Для облегчения боли на ранних стадиях заболевания врачи рекомендуют мочегонные препараты и кортикостероиды, с помощью которых удаётся добиться частичного снятия отёка и нормализации кровоснабжения на поражённом участке.
- Удаление опухоли с помощью лазера, эндоскопии и ультразвука.
- Иссечение опухоли. Метод травматичен. Способы иссечения: трепанация черепа или удаление костных фрагментов.
Отравление

Клиническая картина
Характер боли — интенсивная и ноющая. Кроме того, пациент чувствует недомогание, слабость, сонливость.
Его может тошнить, рвать.
Вмешательство врача
Нужна помощь терапевта, который потом направляет пациента к инфекционисту, гастроэнтерологу. При тяжёлых формах отравления пациенту оказывается скорая неотложная помощь токсикологами и реаниматологами.
Диагностика
Диагностируют заболевание с помощью беседы с пациентом, анализов мочи и крови. Анализ помогает определить вещество, вызвавшее отравление, что способствует правильной постановке диагноза.
Лечение
- Больному требуется экстренное промывание желудка, чтобы токсины вышли из организма. Пока они будут присутствовать, лечение таблетками, купирующими боль, ничего не даст.
- Приём абсорбирующих средств. Оптимальный вариант — активированный уголь, который восстановит деятельность ЖКТ и выведет токсины из организма.
- Слабительные. Наряду с промыванием желудка, они помогут максимально быстро вывести из организма токсичные вещества.
- При отравлении алкоголем поможет Антипохмелин.
- Если человек без сознания, ему ставят капельницу с медикаментами, которые купируют действие токсинов и оперативно выводят их из организма.
К какому врачу обращаться?
Первоначально пациенту следует прийти на приём к терапевту, который после беседы и проведения несложных анализов диагностирует заболевание и направит к нужному специалисту.
В зависимости от первопричины головных болей, лечить пациента будет невропатолог, нейрохирург, флеболог, хирург, гастроэнтеролог и т. д.
В каком случае нужно немедленно к врачу?
- Внезапные боли с появлением тошноты и рвоты. Если у пациента кружится голова, то тоже необходимо проконсультироваться с врачом.
- Срочно обращаются к врачу, когда, кроме боли, немеет тело или конечности, двоится в глазах, нарушается координация движений, возникают проблемы со зрением, повышена температура.
- Если сначала болевые ощущения появляются редко и длятся недолго, а со временем учащаются или резко усиливаются.
- Если боль ощущается в одном месте головы или отдаёт в затылок.
- Если пациент старше 50 лет.
Чем еще можно облегчить состояние?
Если выявлено, что причиной боли стало переутомление, стресс, то рекомендуется:
- Активно отдыхать.
- Больше спать.
- Чаще проветривать помещение.
- Не находиться долгое время в статичных позах.
- Массировать голову.
- Проводить ЛФК.

Не нужно после работы запирать себя дома, постарайтесь больше гулять на свежем воздухе и давать телу физическую нагрузку. Важно совершать прогулки в парке, а не около загазованных дорог. Можно использовать для расслабления организма велопрогулки и плавание.
Полноценный сон
Часто боли возникают, когда человек не даёт себе отдыхать и высыпаться. Полноценный сон должен длиться не менее 7-8 часов в сутки. Хорошим подспорьем станет подушка, наполненная гречневой шелухой.
Перед сном рекомендуется проветривать помещение.

Массировать голову можно в домашних условиях самостоятельно, не беспокоя домочадцев. Ставим два пальца в ямочки за затылком и аккуратно, не надавливая, массируем пару минут. Если болевые ощущения сильные, то ставим пальцы на виски и активными движениями выполняем массаж висков. При хондрозах шейного отдела следует выполнять массаж шейно-воротниковой зоны.
Применение эфирных масел
Для ликвидации острой боли и снижения тревожности следует втирать в области висков 2-3 капли мятного масла в течение 60 секунд.
Расслабляем глаза
Современный человек много времени проводит за компьютером. Если день тяжёлый и глаза постоянно напряжены, то нередко возникает головная боль. Отрегулируйте частоту мерцания монитора, его яркость. Время от времени давайте глазам отдыхать, чаще моргайте, закрывайте глаза на пару минут.
ЛФК при головной боли
- Сидя на стуле, полностью расслабляем шею и даём голове наклониться к груди под своей тяжестью. Держим голову в таком положении 20 секунд, потом возвращаемся в исходное положение. Повторяем от 10 до 15 раз.
- Встаём, складываем руки в замок. Прижимаем большие пальцы к дугам скул, остальные пальцы охватывают затылок. Взгляд направлен вверх. После этого откидываем голову назад, преодолевая сопротивления пальцев. Держим запрокинутую голову 10 секунд, после чего максимально наклоняем голову к груди, при этом голова расслаблена. Упражнение повторяется 5 раз.
Точечный массаж
- Пальцами нащупываем те точки, в которых локализуется боль в области затылка. Аккуратно массируем эти точки по часовой стрелке 15 раз, потом зажимаем их на 1-2 минуты.
- Переходим на основание носа, давим на точку в месте, где закачивается переносица и начинаются брови. Давим на неё 1-2 минуты.
- Массируем точку между указательным и большим пальцем 1-2 минуты.
Из этого можно сделать вывод, что головную боль можно преодолеть, но не стоит злоупотреблять обезболивающими препаратами, не зная причины возникновения дискомфорта.
Дополнительно очень полезным будет ознакомиться со следующим видео
Медикаменты легко маскируют симптоматику болезни, и пациент теряет время, которое можно потратить на лечение. Ряд причин, вызывающих боль, обширен. Если дискомфорт не проходит или возникает периодически, то пациенту необходимо посещение врача.
Источник


